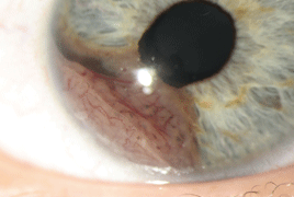
Iris melanomas are very rare in children. The paper presents the case of a 12-year-old boy with iris melanoma of spindle-cell type A and pre-operatively associated with uncontrolled secondary glaucoma. Tumour resection was complicated by lens extraction and consecutive PC IOL implantation. Antiglaucomatous surgery was performed due to the persistently elevated intraocular pressure. Currently, the intraocular pressure is within the normal range and the patient has no signs of the presence of tumour cells or metastases.
- Pre-implantation genetic diagnosis for inherited eye diseases
- Tear Osmolarity in Patients with Lagophthalmos
- Comparison of therapeutic results of monocanalicular and bicanicular intubation for congenital nasolacrimal duct obstruction
- Automatic Retinal Oximetry in Patients with Diabetic Retinopathy
- Blepharophimosis-ptosis- epicanthus inversus syndrome
- Iris Melanoma in Paediatric Patient