- Uveitidy asociované s juvenilní idiopatickou artritidou (JIA) a JIA-like uveitidy u dětských pacientů
- Novinky v skríningu retinopatie prematúrnych detí. Naše skúsenosti s novinkami v odporučeniach pre skríning retinopatie predčasne narodených detí
- Vliv myopie a oslnění na mezopickou kontrastní citlivost
- Kalkulace nitrooční čočky u pacientů po předchozím laserovém refrakčním zákroku
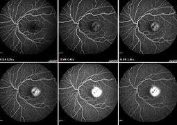
- Postradiačná makulopatia u pacientov s malígnym melanómom corpus ciliare a chorioidey po stereotaktickej rádiochirurgii


















